History of Present Illness
Review of Systems
Past Medical History
Physical Examination
Essential Differential Diagnosis
Essential Immediate Steps
Test Results 1
Relevant Testing
Test Results 2
Test Interpretation
Interim Differential Diagnosis
Relevant Next Steps
Test Results 3
Diagnosis
Treatment Orders
Question 1
Question 2
Question 3
Question 4
About the Case
Loss of Consciousness in a 50-yr-old Man
Test Interpretation
Your browser does not support HTML5 .
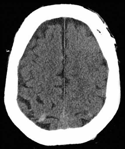
The patient is sent for head CT, and the scan is shown. Which is the following is a correct interpretation of this CT scan? (Please choose only one answer.)
Next